

歯を白くする方法には、ホワイトニングと呼ばれる歯の漂白とポーセレンラミネートベニアや被せものなどの人工物による方法に大別されます。
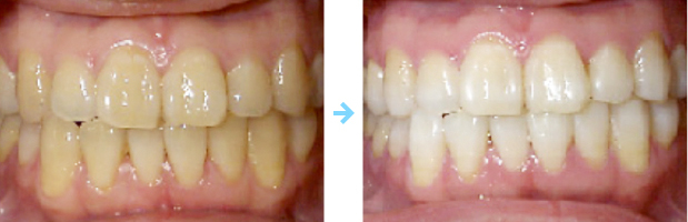
ホワイトニングは、生まれつきの変色歯や年齢、喫煙、飲食等で変色した歯を削らずに専用の薬剤を用いて漂白する方法です。
オフィスホワイトニング(診療室で行う漂白)とホームホワイトニング(自宅で行う漂白)があります。

患者さん個々にあわせたマウストレーに漂白剤を入れ、ご自宅で漂白を行います。
1日2時間、2週間が目安です。
治療期間は漂白の効果により変わります。

ポーセレンラミネートベニアとは、歯を表面一層だけ切削を行い、型取りをして、セラミック製の薄いベニアを作製し、作製したベニアを歯科用接着剤で歯の表面につける方法です。
