

不幸にして歯を失ってしまった場合、どのような方法で失った歯を補うことができるのでしょうか。
現在の歯科治療では、以下に示す三つの方法が一般的に行われています。
当科では、歯を補う治療を専門とする補綴歯科専門医やインプラント専門医による治療を受けることができます。
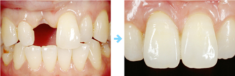
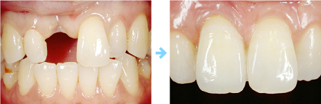
主に歯を1、2本失った場合に用いられる固定式の方法です。失った歯の両隣の歯を利用します。
但し、これらの土台となる歯は削ることになります。
当科では、歯の削る量を最小限に抑えた接着ブリッジを積極的に行っています。

総入れ歯と部分入れ歯に大別することができます。どちらも基本的には取り外し式です。

残った歯にかける留め金があるのが特徴です。
また、留め金を安定させるために歯を少し削る場合があります。

歯ぐきだけで支え、歯ぐきに吸い付くことで安定します。
唇のふくらみを持たせたり、顔のしわを少なくすることもできます。

インプラントとは、チタン製の人工歯根を骨の中に埋め込み、歯(上部構造体)を装着することで、噛み合わせを再建する治療法です。
チタンと骨が結合する現象(オッセオインテグレーション)が利用されており、臨床に応用され始めて約50年の歴史があります。
1本だけの欠損から全部欠損まで対応することが可能です。

当科では、患者さん個々の症例に応じて岡山大学病院歯系の関連診療科と連携してインプラント治療を行うこともあります。